Journal of Physical Medicine Rehabilitation & Disabilities Category: Medical Type: Case Report

An unusual aneurismal bone cyst of the lumbar spine: Arthroscopic treatment- A case report

Bernardino Saccomanni1*
1 Department of Orthopedic Clinic, Institution of Ambulatorio Di Ortopedia, Via Della Conciliazione, 65 Cap 74014 Laterza (Ta), Italy

*Corresponding Author(s):
Bernardino Saccomanni
Department Of Orthopedic Clinic, Institution Of Ambulatorio Di Ortopedia, Via Della Conciliazione, 65 Cap 74014 Laterza (Ta), Italy
Tel:+39 3208007854,
Email:bernasacco@yahoo.it

Received Date: Mar 04, 2026
Accepted Date: Mar 17, 2026
Published Date: Mar 26, 2026

Abstract

Study design: A report of a case treated with curettage without bone grafting. 

Objectives: To document the surgical technique consisting of arthroscopic treatment. 

Summary of Background Data: Curative treatment of spinal aneurismal bone cyst is performed by curettage without bone grafting. Arthroscopic treatment of curettage requires only 2 small incisions. As result, an early rehabilitation is possible and a good range of motion is obtained. Arthroscopic treatment is the minimally invasive procedure of choice for treatment ABCs. 

Methods: Curettage and bone grafting are the accepted methods of treatment of aneurismal bone cysts. Unfortunately, recurrence is common. We treated a patient with atypical aneurismal bone cyst of lumbar spine that lacked aneurismal dilatation by arthroscopic curettage without bone grafting. 

Results: New bone formation and remodelling was observed in this patient. There was no evidence of recurrence. 

Conclusion: Arthroscopic curattege without bone grafting is a simple and effective treatment for aneurismal bone cyst.

Keywords

An aneurismal bone cyst; Arthroscopic treatment; Curettage; Lumbar spine

Introduction

Aneurysmal bone cyst was recognized and described as a distinct clinic pathologic entity by Jaffe and Liechtenstein in 19427. ABC is a benign lesion, characterized by fibrous tissue wall filled with blood. The aetiology of this lesion is unknown. Treatment methods include surgical excision and curettage with or without bone grafting. Unfortunately, a recurrence rate of 30% to 40% has been reported using these methods [1-4]. Cryosurgery, embolization, and the insertion of Kirschner pins, or demineralized bone particles has been attempted [5-8]. We report a good result with arthroscopic curattege without bone grafting in a patient with ABC of lumbar spine (fourth lumbar vertebra).

Case Report

A 9-year-old girl reported the acute onset of lumbar pain during a volleyball match. He had a similar experience a few years ago. Radiograph showed osteolysis with thinning of the cortex to the lumbar spine [Figure 1].

 Figure 1: A 9-year-old girl with a suspect ABC of the lumbar spine (fourth lumbar vertebra). Preoperative view. 

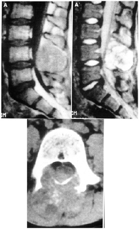
MRI and CT showed fluid in the bone (Figure. 2). Arthroscopic curettage without bone grafting was performed. A 6-mm skin incision was used to aspirate the bloody fluid and remove the cyst membrane (Figure 3). Pathologic examination demonstrated the cyst to be an ABC (Figure. 4). Curettage was performed using the arthroscope. Range of motion exercices were begun on the first postoperative day. The outcome was good and there was no evidence of recurrence at the 20-month follow-up (Figure. 5). 

 Figure 2: MRI and CT before surgery showing osteolysis and fluid in the bone. 

 Figure 3: Arthroscopic finding showing reddish membranes.

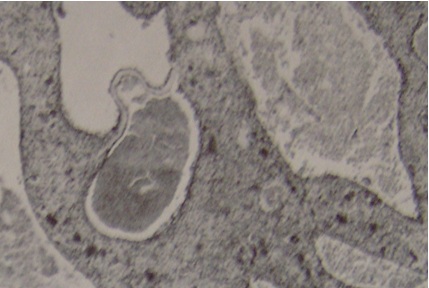
 Figure 4: Typical histological features of the aneurismal bone cyst. The cells lining the cystic spaces are not endothelial.

 Figure 5: MRI 20 months after surgery showing good bone formation.

Arthroscopic Technique

An electric joint shaver, an arthroscope, a variety of sharp curettes, ball forceps, and Kirschner wires, and a drill are required for this procedure. The operation is performed with the aid of an inflatable tourniquet. One ampule of epinenephrine is used per liter of irrigation fluid when an inflatable tourniquet is not used in order to control the hemorrhage. Through a 6 to 9-mm skin incision, a burr hole is made using a drill. After the bloody fluid is evacuated, a sharp curette is inserted into the body cavity and the membrane is removed. This specimen is submitted for pathologic examination. Further curettage is performed.

A space necessary for arthroscopy is thus created and the arthroscope is inserted. An 18gauge needle is used to evacuate the irrigation fluid. Red membranous tissue that partitions the space and bleeds easily is seen through the arthroscope. A second portal is made on opposed side of the bone. Sharp curratege, shavers, and forceps are inserted for curettage under arthroscopic guidance. When curratege is complete, normal bone is seen. The cavity is then irrigated and a bulky dressing is applied.

Discussion

The ABC is a benign lesion with peculiar clinical, radiographic, and prognostic features. The diagnosis of ABC should be made when all other lesions have been excluded8. The accepted treatment of ABCs is curettage and bone grafting. The curettage depends on the method of treatment. Recurrence rates for curettage (5%), curettage with bone grafting (33%), curettage with irradiation (15%), irradiation alone (27%), curettage with cryosurgery (17%), and curettage with bone cementing (17%) have been reported. Radiation therapy is recommended for lesions that are surgically inaccessible9. Arterial embolization, insertion of kirschner pins, and percutaneous embolization with the alcohol solution of zein has also been used to treat ABCs. Clinical studies are required to determine the efficacy of these methods [9-13].

Arthroscopic treatment of curettage requires only 2 small incisions. As result, an early rehabilitation is possible and a good range of motion is obtained. In conclusion, we believe that arthroscopic curettage is the minimally invasive procedure of choice for treatment ABCs [14, 15].

References

  1. Biesecker JL, Marcove RC, Huvos AG, Mike V (1970) Aneurysmal bone cysts: a clinicalpathologic study of 66 cases. Cancer, 26: 615-625.
  2. Campanacci M, Capanna R, Picci P (1986) Unicameral and aneurysmal bone cysts. Clin Orthop, 204: 25-36.
  3. . Dabska M, Buraczewski J (1969) Aneurysmal bone cyst: pathology, clinical course and radiologic appearances. Cancer, 23: 371-389
  4. Ruiter DJ, Rijssel TG, Velde EA (1997) Aneurysmal bone cysts: a clinicalpathological study of 105 cases. Cancer, 39: 2231-2239.
  5. Delloye C, Nayer PD, Malghem J, Noel H (1996) Induced healing of aneurismal bone cysts by demineralised bone particles: a report of two cases. Arch Orthop Trauma Surg, 115: 141-145.
  6. Marcove RC, Sheth DS, Takemoto S, Healey JH (1995) The treatment of aneurismal bone cyst. Clin Orthop, 311: 157-163.
  7. Ozaki T, Hillmann A, Lindner N, Wilkelmann W (1997) Cementation of primary aneurismal bone cysts. Clin Orthop, 337: 240-248
  8. Papavasilliou VA, Sfropoulos N (1990) Aneurysmal bone cyst: a preliminary report on a new surgical approach. J Pediatr Orthop, 10: 362-364.
  9. Radanovic B, Simunivic S, Stojanovic J, Orlic D, Potocki K (1990) Therapeuric embolization of aneurismal bone cyst. Cardiovasc Intervent Radiol, 12: 313-316.
  10. Schreuder HW, Veth RP, Pruszczynski M, Lemmens JA, Koops HS, et al. (1997) Aneurysmal bone cysts treated by curettage, cryotherapy and bone grafting. J Bone Joint Surg Br, 79: 20-25.
  11. Cigala F, Sadile F (1996) Arterial embolization of aneurismal bone cysts in children. Bull Hosp Joint Dis, 54: 261-264.
  12. Guibaud L, Herbreteau D, Dubois J, Stempfle N, Berard J, et al. (1998) Aneurysmal bone cyst: percutaneous embolization with alcoholic solution of zein- Series of 18 cases. Radiology, 208: 369-373.
  13. Jaffe HL, Linchtenstein L (1942) Solitary unicameral bone cyst with emphasis on the roentgen picture, the pathologic appearance and the pathogenesis. Arch Surg, 44: 1004-1025.
  14. Levy WM, Miller AS, Bonakdarpour A, Aegerter E (1975) Aneurysmal bone cyst secondary to other osseous lesions: reports of 57 cases. Am J Clin Pathol, 63: 1-8.
  15. Maeda M, Tateishi H, Takaiwa H, Kinoshita G, Hatano K (1986) High-energy, low-dose radiation therapy for aneurismal bone cyst: report of case. Clin Orthop, 243: 200-203.

     


Citation: Saccomanni B (2026) An unusual aneurismal bone cyst of the lumbar spine: Arthroscopic treatment- A case report. J Phys Med Rehabil Disabil 12: 099.

Copyright: © 2026  Bernardino Saccomanni, et al. This is an open-access article distributed under the terms of the Creative Commons Attribution License, which permits unrestricted use, distribution, and reproduction in any medium, provided the original author and source are credited.


Herald Scholarly Open Access is a leading, internationally publishing house in the fields of Science. Our mission is to provide an access to knowledge globally.



© 2026, Copyrights Herald Scholarly Open Access. All Rights Reserved!